إيلينا — من القلق إلى الثقة
Elena

جاءت إيلينا إليّ برغبة في ابتسامة طبيعية ولكن أنيقة. كانت قلقة من وجود شقوق في الأسنان الأمامية، وزيادة الحساسية، وتآكل في الأسنان الخلفية. كانت تتمنى أن تستعيد ثقتها عندما تبتسم — بحرية وصدق.

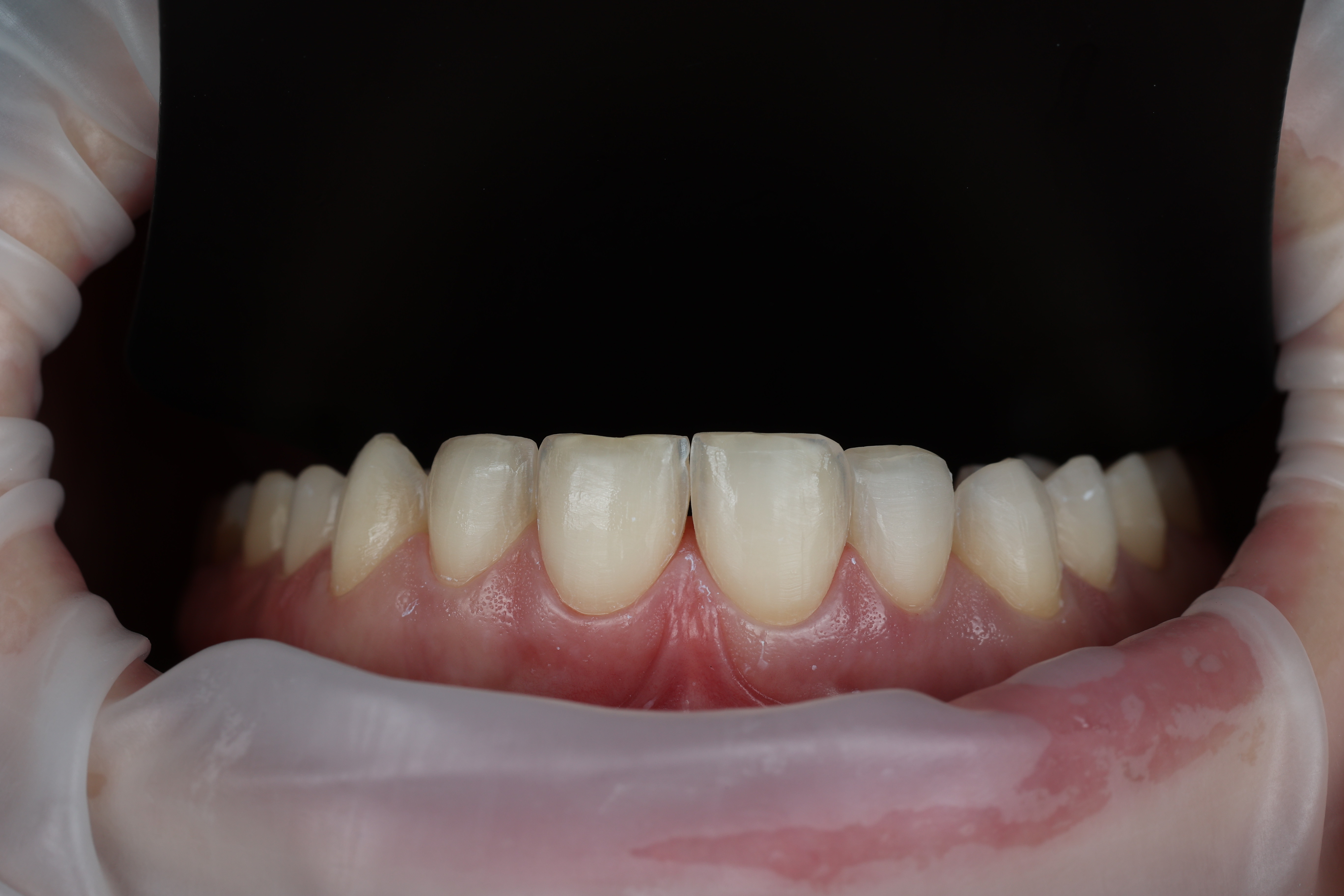
تُظهر الصورة السريرية الأولى: شقوق في القواطع، مينا غير متجانسة، وحواف غير واضحة. لم تكن شكل الأسنان يُبرز تناغم ملامح وجهها. كل ذلك كان يمنع إيلينا من الاستمتاع بابتسامتها.

كانت التحضيرات دقيقة لأقصى حد — تحضير بسيط داخل حدود المينا فقط. حافظنا على الأنسجة السليمة، لأن ذلك هو سر النتيجة الدائمة والمظهر الطبيعي.

تم تثبيت القشور التجميلية تحت العازل المطاطي — في عزلة تامة. هذا يضمن التصاقًا قويًا ودقيقًا، ويعني نتائج مستقرة تدوم لسنوات.

وها هي — الابتسامة الجديدة! كانت إيلينا تضيء وجهها أمام المرآة. امتنان، وراحة، ودهشة كلها كانت واضحة في عينيها. طب الأسنان يتعلق بالجمال، ولكنه أيضًا يتعلق بالمشاعر.

انظر إلى هذا الكمال! الأسنان تبدو طبيعية تمامًا: الشفافية، والملمس، واللون، والشكل — كل شيء تم تخصيصه ليتناسب مع ملامح وجهها، وبياض عينيها، وشفتيها. هذه ليست مجرد أسنان، إنها ابتسامة تغيّر كل شيء.
💰 التكلفة الإجمالية لـ 28 سنًا: 120,000 درهم إماراتي

رئيس قسم طب الأسنان
الدكتورة أولغا فورونيتس
مصممة ابتسامتك الجميلة.الابتسامة تليق بك!
طبيبة أسنان بخبرة 16 سنة
ماذا يقول مرضانا؟
FAQ
ماذا يمكنني أن أتوقع في زيارتي الأولى؟
في Definitive Dental، نحن نسعى لجعل كل زيارة مريحة قدر الإمكان. سيستقبلك موظفونا الودودون، ويرشدونك خلال موعدك، ويجيبون على أي أسئلة لديك. عيادتنا تقدم عددًا من وسائل الراحة مثل المناشف المجانية، وبرامج التلفزيون، والراديو عبر الإنترنت لجعل زيارتك ممتعة.
ما هي خدمات طب الأسنان التي تقدمونها؟
في Definitive Dental، نقدم مجموعة كاملة من خدمات طب الأسنان لتلبية احتياجات مرضانا. وتشمل هذه الرعاية الوقائية، والإجراءات الترميمية، والعلاجات التجميلية، وتقويم الأسنان، وخدمات طب الأسنان الطارئة. سواء كنت بحاجة إلى فحص روتيني أو علاج أسنان متقدم، نحن هنا لخدمتك.
هل هذه عيادة أسنان خالية من الألم؟
نحن نسعى لجعل تجربتك مريحة قدر الإمكان. على الرغم من أن بعض إجراءات الأسنان قد تسبب بعض الانزعاج الطفيف، إلا أننا نستخدم تقنيات متقدمة وخيارات مهدئة لتقليل أي ألم أو قلق. فريقنا مكرس لضمان شعورك بالراحة خلال زيارتك.
هل يمكنني مشاهدة آراء المرضى عن عيادتكم؟
نعم! نحن نؤمن بالشفافية ونفخر بالتعليقات الإيجابية التي تلقيناها من مرضانا. يمكنك العثور على آراء المرضى على موقعنا الإلكتروني ومنصات أخرى حيث نحن مدرجون. نحن نشجعك على قراءة تجارب الآخرين للحصول على فكرة أفضل عن ما يمكن توقعه.
هل يمكن لجميع أفراد عائلتي الحصول على العلاج في نفس اليوم؟
نعم، نحن نرحب بالعائلات! نحن نفهم مدى أهمية تنسيق زيارات الأسنان لجميع أفراد العائلة، لذا نبذل قصارى جهدنا لاستيعاب عدة أفراد في نفس اليوم. يُرجى الاتصال مسبقًا لتحديد المواعيد، وسنبذل قصارى جهدنا لضمان رؤية الجميع بكفاءة.


