Elena — From Insecurity to Confidence
Elena

Elena came to me with a desire for a natural yet well-groomed smile. She was concerned about chips on her front teeth, increased sensitivity, and wear on her molars. She wanted to feel confident when smiling again — freely and sincerely.

The initial clinical photo shows: incisor chips, uneven enamel, and blurred edges. The tooth shape didn’t highlight the harmony of her face. All of this kept Elena from enjoying her smile.

The preparation was as delicate as possible — minimal enamel-only preparation. We preserved the healthy tissue, because that’s the key to long-lasting and natural results.

The veneers were bonded under a rubber dam — in complete isolation. This ensures strong and precise adhesion, meaning stable results for years to come.

And here it is — the new smile! Elena was glowing in front of the mirror. Gratitude, relief, and delight were all visible in her eyes. Dentistry is about beauty, but even more — about emotion.

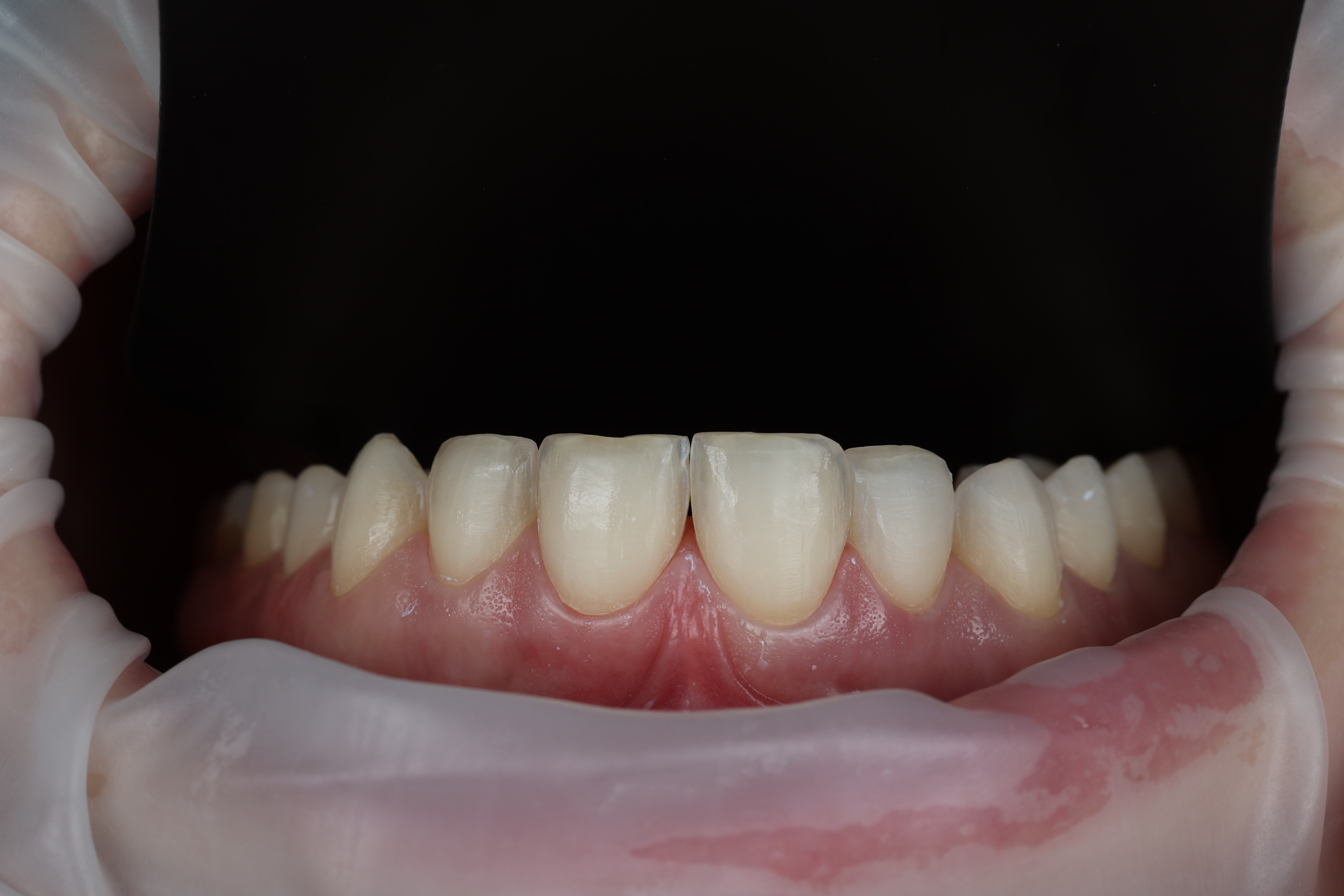
Just look at this perfection! The teeth look like her own: translucency, texture, color, and shape — everything customized to match her facial features, eye whites, and lips. These aren’t just teeth. This is a smile that changes everything.
💰 Total cost for 28 teeth: 120,000 AED

Dr. Olga Voronets
Designer of your beautiful smile. Smile - it suits you!
Dentist with 16 years of experience
What our patients say
FAQ
What can I expect on my first visit?
At Definitive Dental, we endeavor to make each visit as comfortable as possible. Our warm and friendly staff will welcome you, walk you through your appointment, and answer any questions you have. Our clinic offers a number of amenities like complimentary towels, television programming, and internet radio to make your visit a pleasant one.
What dental services do you provide?
At Definitive Dental, we offer a full range of dental services to meet the needs of our patients. These include preventive care, restorative procedures, cosmetic treatments, orthodontics, and emergency dental services. Whether you need a routine check-up or advanced dental work, we’ve got you covered.
Is this a pain-free dental practice?
We strive to make your experience as comfortable as possible. While some dental procedures may cause mild discomfort, we use advanced techniques and sedation options to minimize any pain or anxiety. Our team is dedicated to making sure you feel at ease during your visit.
Can I see patient reviews of your practice?
Yes! We believe in transparency, and we are proud of the positive feedback we’ve received from our patients. You can find patient reviews on our website and other platforms where we are listed. We encourage you to read the experiences of others to get a better idea of what you can expect.
Can my whole family come in for treatment on the same day?
Yes, we welcome families! We understand how important it is to coordinate your family’s dental visits, so we make every effort to accommodate multiple family members on the same day. Please call ahead to schedule appointments, and we’ll do our best to ensure everyone is seen efficiently.


