Когда в руках виниры, а на лице — боль
Оксана
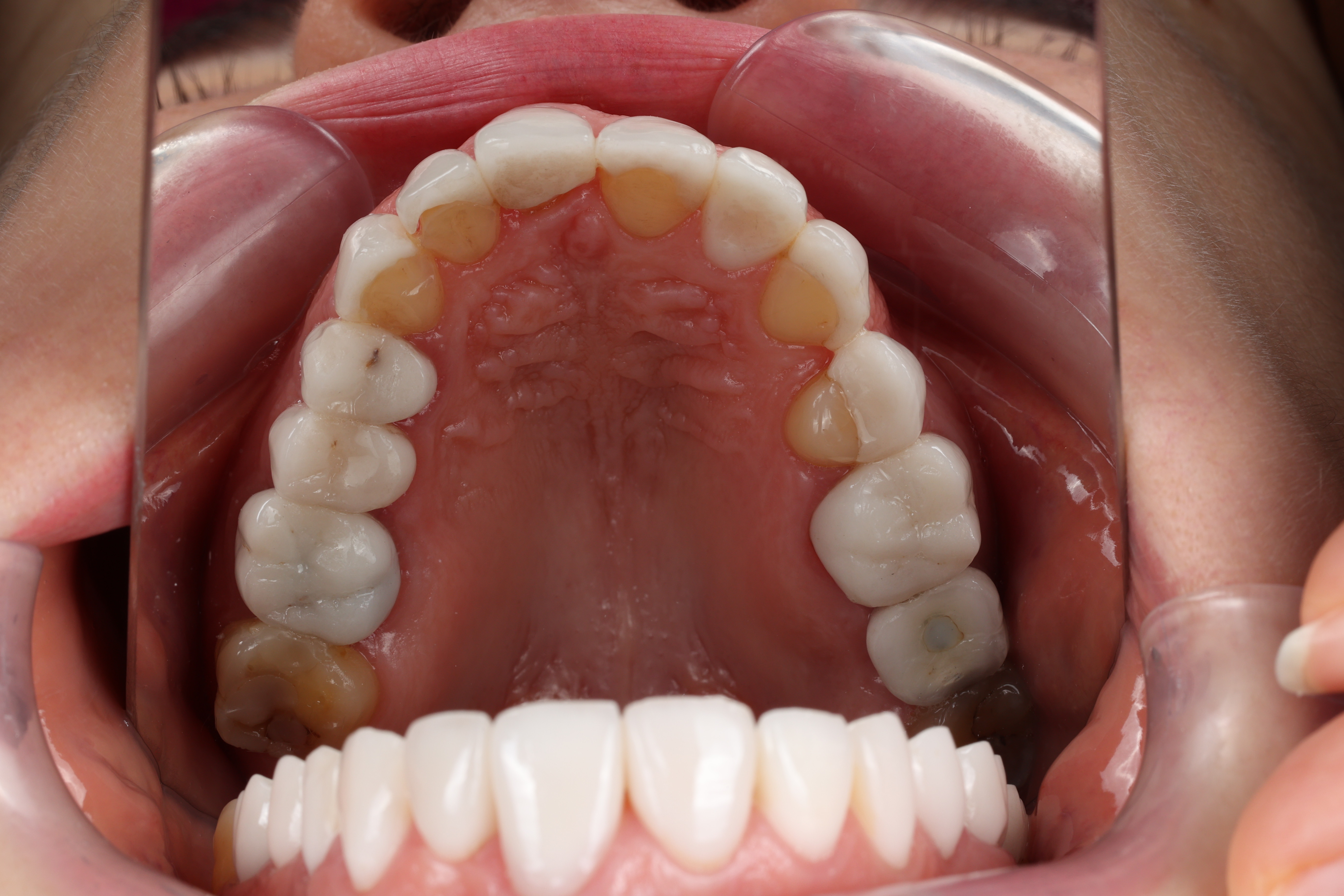
1️⃣ До — «Доктор, у меня снова отклеился винир…»
Оксана — красивая, уверенная женщина, давно живущая в Дубае. Она уже проходила эстетическое лечение у другого специалиста и пришла ко мне… с венирами в руке.
🗣️ «Доктор Ольга, я больше не могу. Они постоянно отклеиваются, скалываются, зубы болят. Если нужно — переделывайте всё. Я хочу улыбаться, а не бояться!»
Каждое её слово было пропитано разочарованием. Но именно в таких историях начинается настоящее преображение.



2️⃣ Процесс — распутать ошибки и сделать всё правильно
🔍 Мы начали с полной диагностики.
❗ Первое, что я увидела: зубы были чрезмерно обточены. Виниры должны фиксироваться к эмали — только тогда мы получаем прочность и долговечность. Здесь же эмаль была практически полностью срезана. Это грубая ошибка.
⚠️ Второе — отсутствие функционального анализа. Жевательные зубы не выведены по прикусу, керамика трескалась, мышцы работали с перегрузкой.
📷 Мы провели фотопротокол, рассчитали физиологичный прикус, сделали мокап и выдали временные конструкции. После адаптации — изготовили индивидуальные Emax виниры и коронки, продуманные с точки зрения эстетики и функции.
3️⃣ После — когда снова хочется смеяться
✨ Сегодня Оксана — другая: сияющая, раскованная, смелая.
👩👧 «Доктор, я улыбаюсь теперь даже без повода. И дети заметили. Говорят: “Мама, ты наконец снова улыбаешься!”»
Теперь она называет свою улыбку «лучшей в Дубае» — и я с этим полностью согласна. Потому что за ней стоит комплексная, заботливая работа.


💰 Стоимость
17 полевошпатных виниров и 7 коронок Emax — 112,000 AED

Руководитель стоматологического отделения
д-р Ольга Воронец
Дизайнер вашей красивой улыбки. Улыбка — вам идёт!
Стоматолог с 16-летним опытом
Что говорят наши пациенты
FAQ
Что я могу ожидать на первом визите?
В Definitive Dental мы стараемся сделать каждый визит максимально комфортным. Наши приветливые и дружелюбные сотрудники встретят вас, проведут по вашему визиту и ответят на любые вопросы. В нашей клинике есть несколько удобств, таких как бесплатные полотенца, телевизионные программы и интернет-радио, чтобы ваш визит был приятным.
Какие стоматологические услуги вы предоставляете?
В Definitive Dental мы предлагаем полный спектр стоматологических услуг для удовлетворения потребностей наших пациентов. Это включает профилактическое обслуживание, восстановительные процедуры, косметические процедуры, ортодонтию и неотложные стоматологические услуги. Независимо от того, нужна ли вам плановая проверка или сложное лечение, мы обеспечим вас всем необходимым.
Это безболезненная стоматологическая практика?
Мы стараемся сделать ваше пребывание максимально комфортным. Хотя некоторые стоматологические процедуры могут вызвать легкий дискомфорт, мы используем современные методы и варианты седации для минимизации боли или беспокойства. Наша команда заботится о том, чтобы вы чувствовали себя комфортно во время визита.
Могу ли я ознакомиться с отзывами пациентов о вашей клинике?
Да! Мы ценим прозрачность и гордимся положительными отзывами, которые мы получаем от наших пациентов. Вы можете найти отзывы на нашем сайте и других платформах, где мы представлены. Мы призываем вас ознакомиться с множеством отзывов, чтобы лучше понять, чего можно ожидать.
Может ли вся моя семья пройти лечение в один день?
Да, мы рады обслуживать семьи! Мы понимаем, как важно согласовать визиты всех членов семьи, поэтому мы делаем все возможное, чтобы обеспечить прием нескольких человек в один день. Пожалуйста, позвоните заранее для записи на прием, и мы сделаем все возможное, чтобы все были приняты эффективно.


